Данная система применяется в ортодонтии для лечения различных дефектов прикуса и положения зубов. Наиболее часто каппы назначаются пациентам с дефектами зубного ряда легкой или средней степени тяжести:
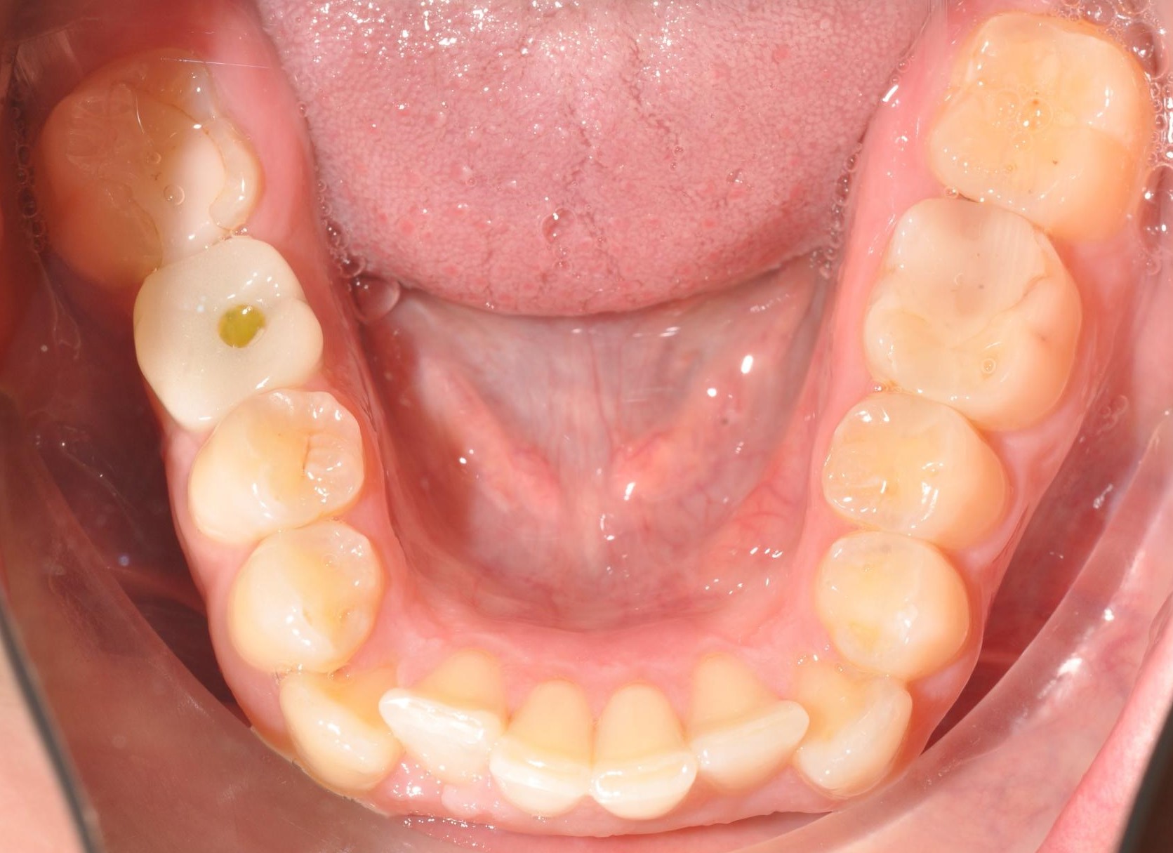
Еще одно распространенное показание — диастемы и тремы. Иногда это врожденная особенность, иногда — результат потери зуба.
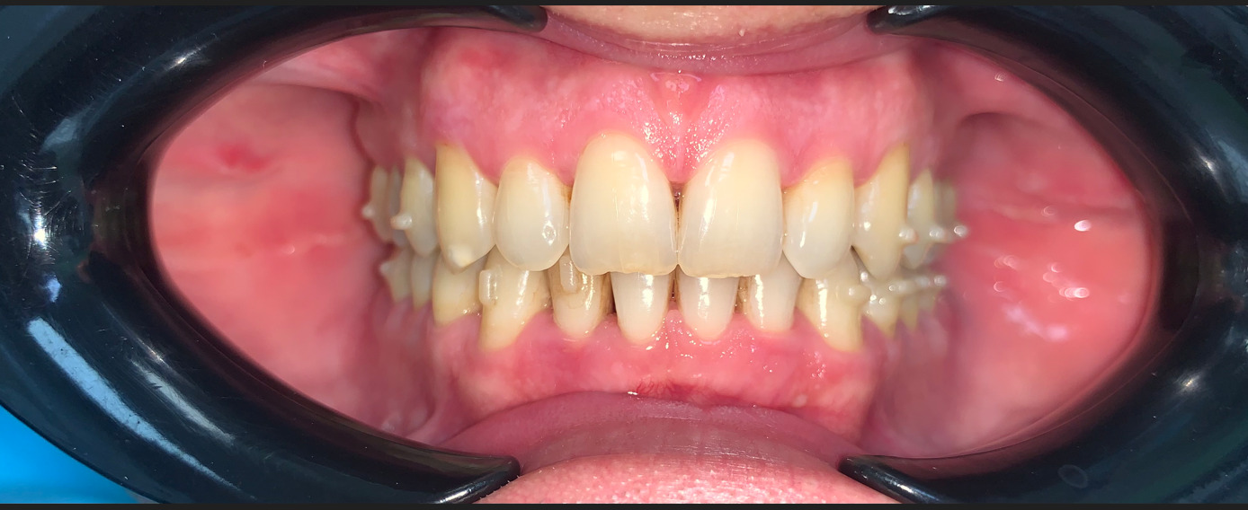
Часто пациенты обращаются с неправильным прикусом: верхние зубы слишком сильно перекрывают нижние, или наоборот — челюсть смыкается неестественным образом. Система позволяет скорректировать прикус, равномерно распределяя нагрузку на зубы и улучшая эстетику лица.
Еще одна ситуация, когда элайнеры могут быть полезны, — рецидив после брекетов. Иногда после снятия брекет–системы зубы постепенно начинают возвращаться в прежнее положение. Прозрачные накладки помогут восстановить результат и зафиксировать его на долгие годы.

Хотя элайнеры считаются одним из наиболее комфортных методов ортодонтического лечения, существуют ситуации, при которых их установка противопоказана:
Такой метод ортодонтической коррекции требует дисциплины и соблюдения правил ношения. Каппы необходимо носить не менее 22 ч/сутки, снимая только во время трапезы и чистки зубов. Поэтому для маленьких детей или пациентов, которым сложно придерживаться строгого режима, каппы могут оказаться неудобными и, соответственно, неэффективными.
Элайнеры — это прозрачные ортодонтические каппы, которые поэтапно перемещают зубы в заданное положение. Их изготавливают из биосовместимого полимера, не вызывающего раздражения и аллергических реакций. Процесс лечения предполагает использование серии капп, каждая из которых незначительно отличается от предыдущей. Замена происходит примерно раз в две недели, и с каждой новой каппой зубы постепенно перемещаются в нужном направлении.

Коррекция начинается с консультации ортодонта. Врач проводит осмотр, оценивает состояние зубочелюстного аппарата, определяет, подходят ли данный метод для исправления конкретного дефекта.
Затем выполняются диагностические процедуры:
На основе полученных данных разрабатывается 3D-модель зубочелюстной системы, с помощью которой врач прогнозирует движение зубов и определяет количество элайнеров, необходимых для коррекции.
После утверждения лечебного плана каппы изготавливаются в лаборатории. Процесс занимает от 2 до 4 недель.
Пациент получает первый комплект элайнеров и подробные рекомендации по их использованию. Каждые 10–14 дней пациент меняет капы на новые. Постепенно зубы перемещаются, и прикус становится правильным.
Контрольные осмотры у ортодонта проводятся примерно раз в 6–8 недель. Врач оценивает прогресс и, при необходимости, корректирует план лечения.
Осуществите мечту об идеальной улыбке! Только сейчас — инновационные элайнеры для обеих челюстей всего за 340 000 руб. Прозрачные, удобные и практически незаметные — эффективное выравнивание зубов без брекетов.
→
Улыбка становится доступнее! Начните лечение сейчас!
Начинайте лечение уже сегодня — оплачивайте частями без переплат, банков и сложных условий.
| Наименование | Цена, руб. |
| Ортодонтическая коррекция. Лечение на элайнерах | 340 000 руб. |
| Ортодонтическая коррекция. Изготовление и фиксация ретейнера на одну челюсть | 11 000 руб. |
| Ортодонтическая коррекция. Фиксация одного элемента ретейнера | 3 000 руб. |
| Ортодонтическая коррекция. Снятие ретейнера с одной челюсти | 7 700 руб. |
| Ортодонтическая коррекция. Дисталлизация зуба (установка кнопок+дуга) | 15 000 руб. |
| Ортодонтическая коррекция. Ортодонтический аппарат для дисталлизации | 50 000 руб. |
| Ортодонтическая коррекция. Использование композитной кнопки | 3 000 руб. |
| Ортодонтическая коррекция. Сплинт-терапия | 50 000 руб. |
| Ортодонтическая коррекция. Применение воска | 1000 руб. |
| Ортодонтическая коррекция. Замена эластической цепочки, лигатур | 3 000 руб. |
| Ортодонтическая коррекция несъемным ортодонтическим аппаратом.Установка несъемного одночелюстного аппарата | 7 000 руб. |
| Ортодонтическая коррекция несъемным ортодонтическим аппаратом. Коррекция несъемного одночелюстного аппарата, наблюдение за ходом лечения | 3 000 руб. |
| Печать 3Д-модели (1ед.) | 9 000 руб. |
| Компьютерная томография челюстно-лицевой области: глубокий анализ + диагностика (виртуальный сет ап) Дети | 35 000 руб. |
| Ортодонтическая коррекция. Лечение на элайнерах. Дети | 207 000 руб. |
| Изготовление миорелаксирующей капы | 50 000 руб. |
Наши пациенты проходят лечение в светлых и уютных кабинетах, обеспечивающих максимальную степень комфорта и доверия
Элайнеры — это удобный и эстетичный способ коррекции прикуса. с их помощью можно добиться отличных результатов, однако от пациента требуется дисциплина и соблюдение всех рекомендаций врача.
Да, если проблема затрагивает только верхний или нижний зубной ряд. Однако чаще ортодонты рекомендуют устанавливать каппы на обе челюсти, чтобы избежать нарушения прикуса.
Конечно! Система безопасна для беременных, так как не содержит никаких вредных компонентов.
Срок лечения зависит от сложности случая. В среднем он составляет от полугода до 2 лет. Чем серьезнее дефект прикуса, тем дольше придется носить каппы.